Welcome to Bergen Gentle Dental

Your Dentists in New Milford and Surrounding Areas

Sherwin Cheng DDS l Eric Klipper DMD l Jane Song DDS

meet oue team

〰️

meet oue team 〰️

Dr. Klipper, Eric dmd

Dr. Klipper received his Bachelor of Science in Biology from Touro University, graduating Summa Cum Laude. He then pursued his dental education at Rutgers School of Dental Medicine, where he was inducted into Omicron Kappa Upsilon, the national dental honor society.

General Dentist
Song Jane

dr. song, jane dds

A native of Queens, New York, Dr. Song earned her Doctor of Dental Surgery degree with honors from the Stony Brook School of Dental Medicine. She went on to complete her advanced training at Englewood Hospital, where she gained extensive experience in comprehensive dental care, oral surgery, and working with patients from diverse backgrounds.

General Dentist
General and Family Dentist

dr. cheng, sherwin k. dds

Born in New York, Dr. Cheng went to University of California, Davis, graduating with a BS degree in biological sciences. Following his undergraduate education, Dr. Cheng continued his studies at the University of Maryland Baltimore College of Dental Surgery. After graduation from dental school, Dr. Cheng furthered his education with a General Practice Residency at the University of Medicine and Dentistry of New Jersey, New Jersey Dental School. Dr. Cheng has practiced his entire career in Bergen County, New Jersey.

Our dentists and team focus on practicing in a conservative manner, treating dental issues with non-invasive procedures when possible to keep your smile healthy and strong.

Professional dental cleanings

Routine dental cleanings are the key to a healthy smile. As the saying goes, an ounce of prevention is worth a pound of cure.

General and Family Dentistry

From children and teenagers to adults and seniors, we are dedicated to providing personalized, gentle dental care.

High-tech sterlization

Your safety and security is our highest priority. We provide the latest in sterilization techniques

Cosmetic Dentistry

Our dentist and team focus on providing results for your smile that are both aesthetic and natural looking.

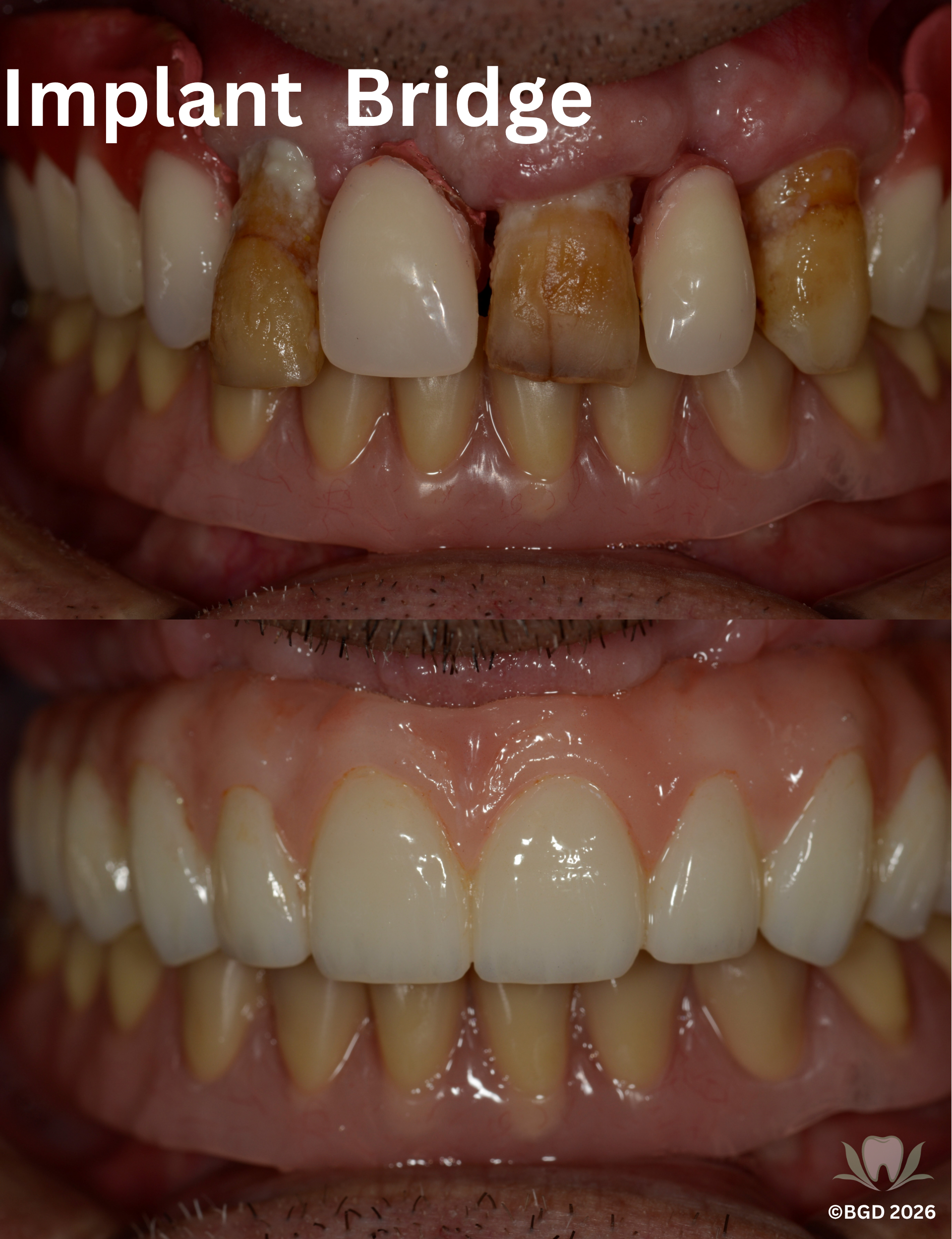
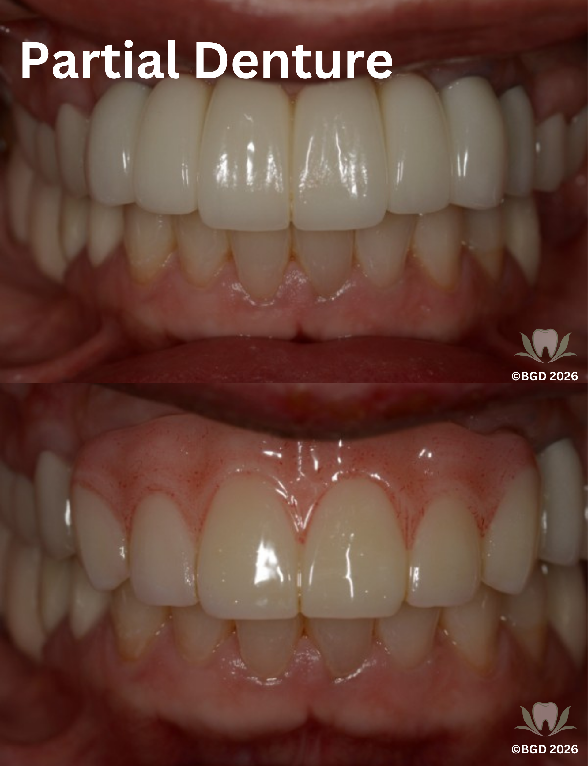
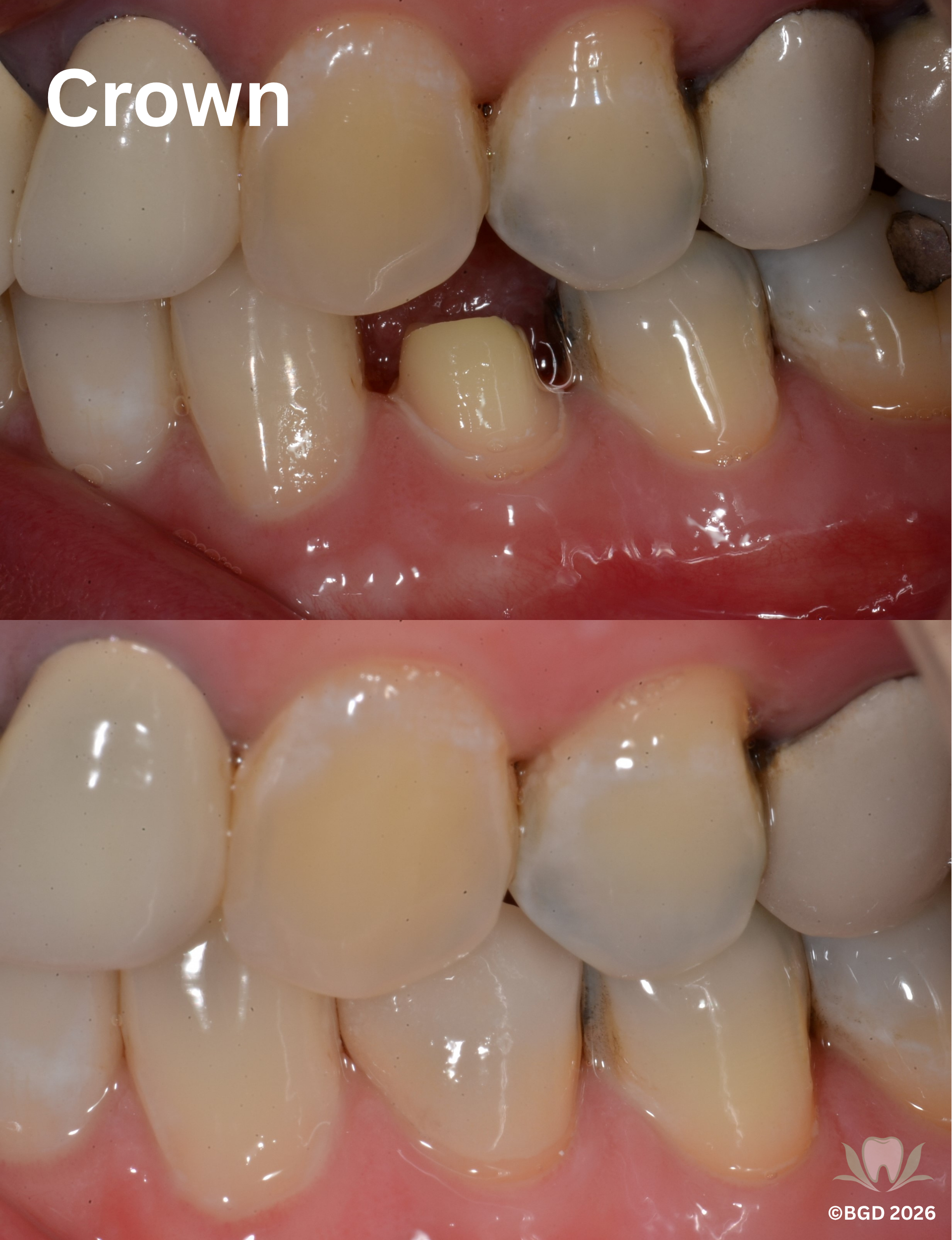
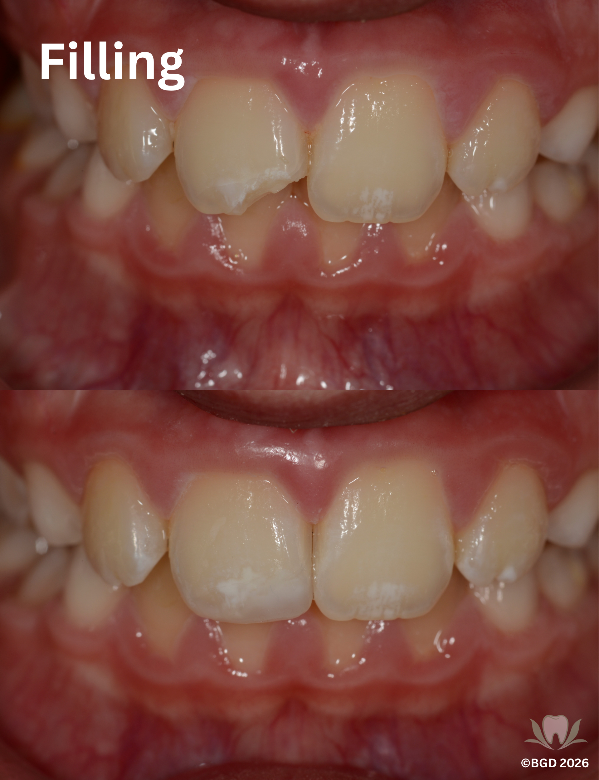
our works

Location

1033 River Rd, New Milford NJ 07646