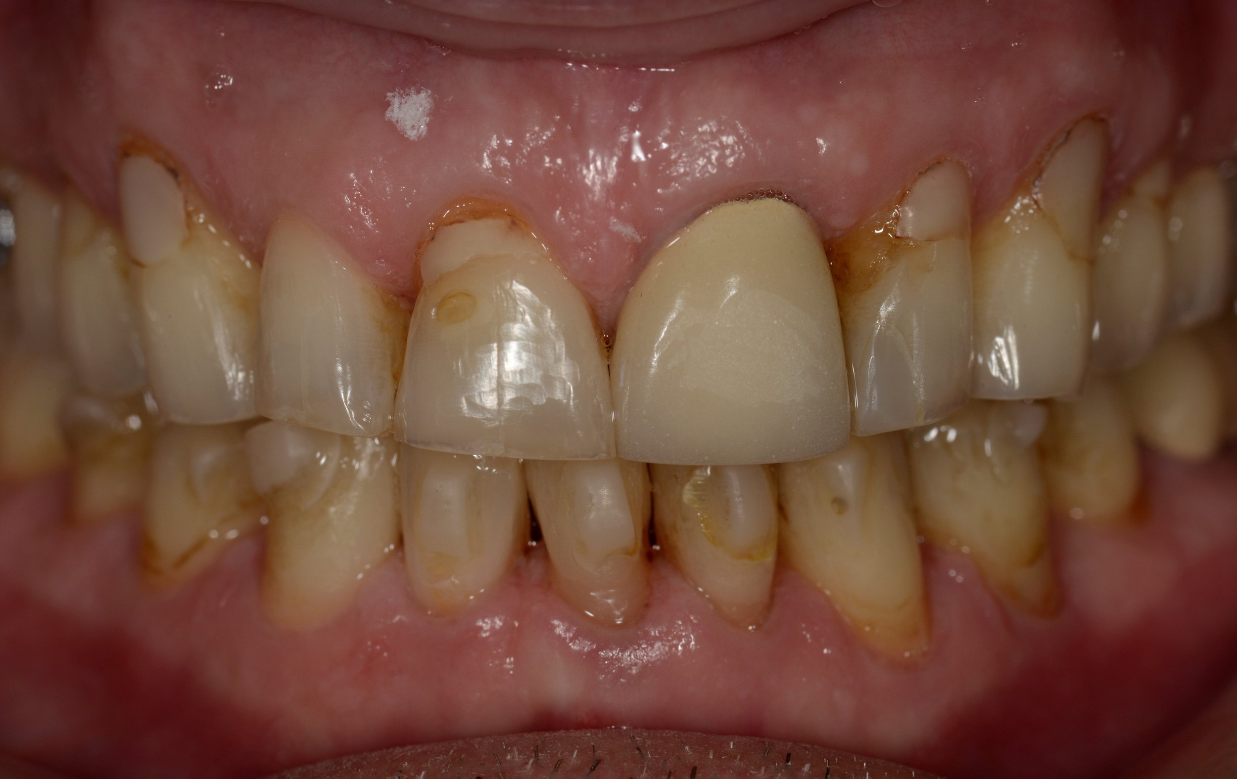
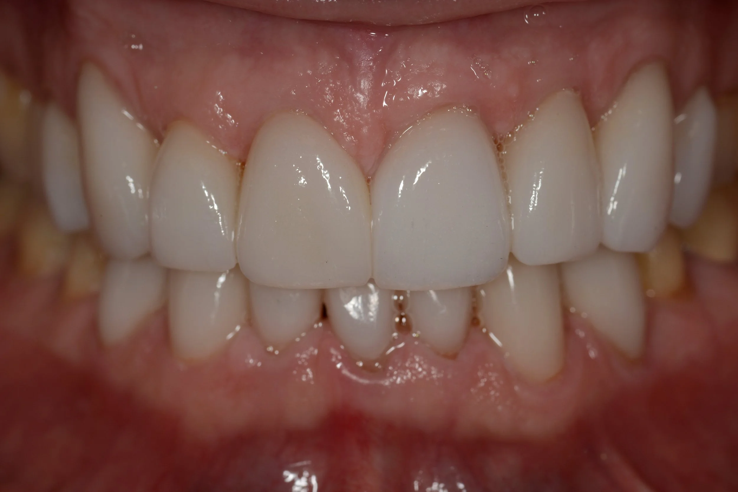
Cosmetic Dentistry
Dr. Sherwin Cheng has completed extensive post-doctoral training in cosmetic and restorative dentistry, as well as having years of experience in providing personalized, high-quality care for their patients. We are pleased to provide advanced care for even the most common dental ailments. We provide several cosmetic dental treatments at our office to ensure that your smile is not just healthy, but also beautiful. If your teeth are discolored or stained, or if your teeth have become decayed, damaged, or chipped, we can provide cosmetic dental services to help you achieve a brighter, more brilliant smile. Our dentists and team focus on providing results for your smile that are both aesthetic and natural looking. With a more beautiful smile, you are sure to achieve the self-esteem boost you need to smile with confidence and pride.
If you have ever wondered how you can enhance the appearance of your smile, we encourage you to contact us today at the office of Sherwin Cheng, DDS. We will be happy to discuss all of your concerns and desires with you, examine the current state of your smile, and determine the best possible options for achieving the smile of your dreams. We invite you to call or visit us today to learn more about cosmetic dentistry in New Milford, New Jersey and to set up your personalized cosmetic consultation. We are eager to improve your smile!
- 
      
      
      
        
        
Customized Teeth Whitening
Are your teeth yellowed or dulled? Do you feel self-conscious about teeth that are discolored or stained? If so, our customized teeth whitening treatment might be just what you need to brighten your smile and boost your self-confidence in your appearance. Dr. Sherwin Cheng and Dr. Jong Park are pleased to offer in-office professional teeth whitening in Tenafly, New Jersey, to lighten the shade of your smile and help you achieve a more inviting aesthetic. In-office teeth whitening typically requires just one visit of about one hour. After this single visit, you will notice that your teeth are dramatically whiter! Professional teeth whitening is a great solution for darkening or discoloration caused by factors such as:
Tobacco use
Consuming certain foods and drinks like wine, tea, soda, and coffee
Natural aging
Certain medications
Fluorosis
Poor dental hygiene and care
Illness
Professional teeth whitening is both safe and effective. While most patients’ results last for at least several months, you may need whitening touch-ups in the future to maintain your brilliantly white smile. For more information about our customized in-office whitening treatment, we welcome you to call or visit our dentists today. We are eager to help you achieve the smile of your dreams!
 - 
      
      
      
        
  
      

Tooth-Colored Fillings
When a tooth is decayed or damaged, our dentists may recommend a filling. At the dental practice of Sherwin Cheng, DDS, we exclusively provide tooth-colored fillings. Common silver (amalgam) fillings are composed of 50% mercury, which may be harmful to your health. White fillings, on the other hand, contain no mercury and are completely safe for both your oral and overall health. We provide fillings made of tooth-colored composite resin or porcelain.
To restore the health of a decayed tooth, our dentists will first remove the decay from the tooth and thoroughly sanitize the tooth surface. We then fill in the space that is left with the chosen filling material. If you choose a tooth-colored filling, we will match it to your natural tooth color for aesthetic results. Once the filling has been shaped to fit the tooth and to match your bite, we harden it by using a special light. If you choose a porcelain or a gold crown, it will be made separately and cemented in place to repair the tooth. To learn more about your choices for dental fillings in Tenafly, New Jersey, and to schedule your next appointment with Dr. Sherwin Cheng and Dr. Jong Park, we invite you to contact us today.